Go to content
DT 15FM - Minimal invasive treatment of calcaneal fractures
Skip menu
×
Home
Technique
▼
PowerPoint
Tips, tricks and hints
New Classification
Videos
Presentations
▼
DKOU 2024
EFAS 2024
Efort 2020
EFAS Genf 2018
DKOU Berlin 2018
9 years Minimally invasive - Publication
Manuscript
QuickInfo
Cases
▼
Tongue - Type
Depression - Type
Comminuted fractures
atypical fractures
Projects
▼
MACD Multi Axial Calcaneal Distractor
Fracture analysis - University Hagenberg
Fracture analysis - DISIOR Finland
Classification computer assisted
C-Fract virtuell calcaneus model
Varius
▼
UpdateHistory
Current topic
Events
Own Publications
Literature
Friends
▼
Dr. Georg Mattiassich, PhD, Austria
Dipl-Ing Johann Fierlbeck, Austria
Dr. Stojan Ivanov, Bulgaria
Dr. Peter Fröhlich, Phd, Hungary
Links
Contact
▼
Contact & Imprint
Privacy Policy
back
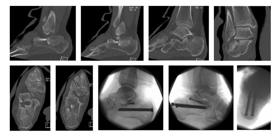
case 15FM, 34y, male, depression-type, surgery on 2nd day after trauma, chain smoker
0
reviews
Your opinion is important to us and helps us improve our service.
Write a Review
Name
*
E-Mail
*
Message
*
Back to content
To use this website you must enable JavaScript.